Database Open Access

Samples of MR Images

Published: Aug. 17, 2001. Version: 1.0.0


Please include the standard citation for PhysioNet: (show more options)
Goldberger, A., Amaral, L., Glass, L., Hausdorff, J., Ivanov, P. C., Mark, R., ... & Stanley, H. E. (2000). PhysioBank, PhysioToolkit, and PhysioNet: Components of a new research resource for complex physiologic signals. Circulation [Online]. 101 (23), pp. e215–e220. RRID:SCR_007345.

Data Description

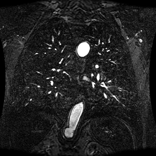
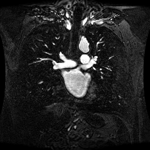
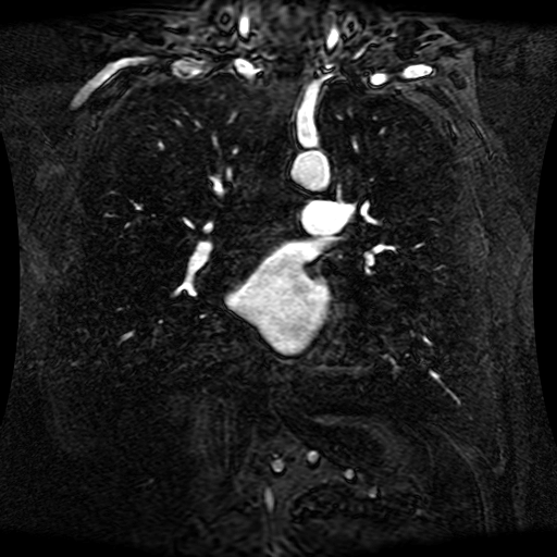
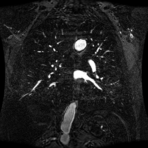
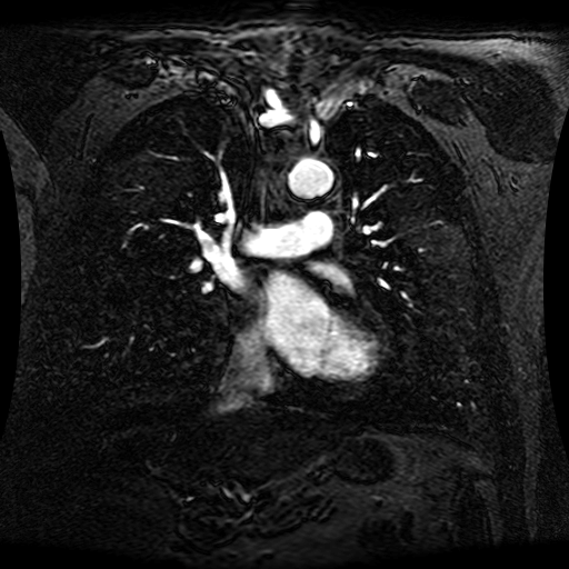
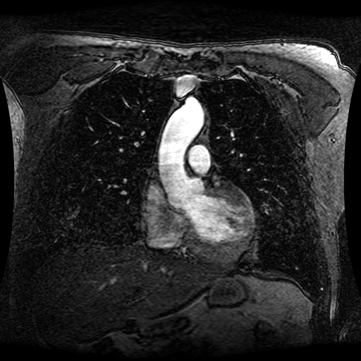
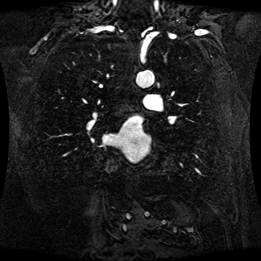
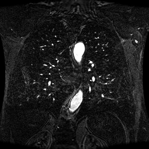
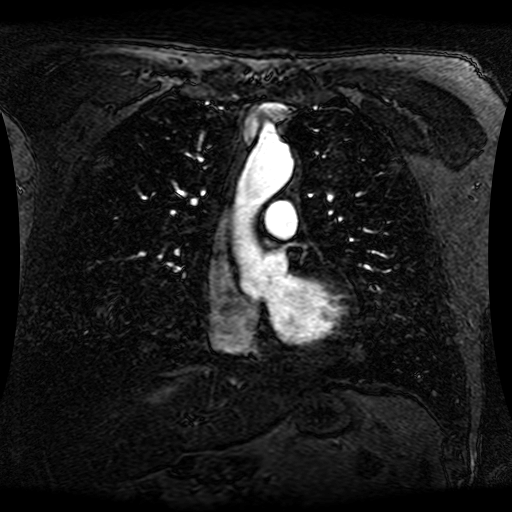
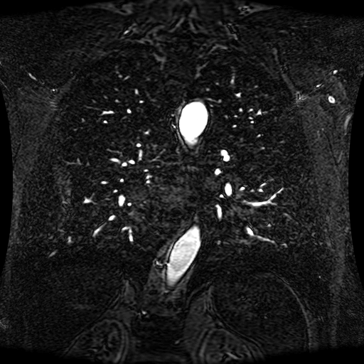
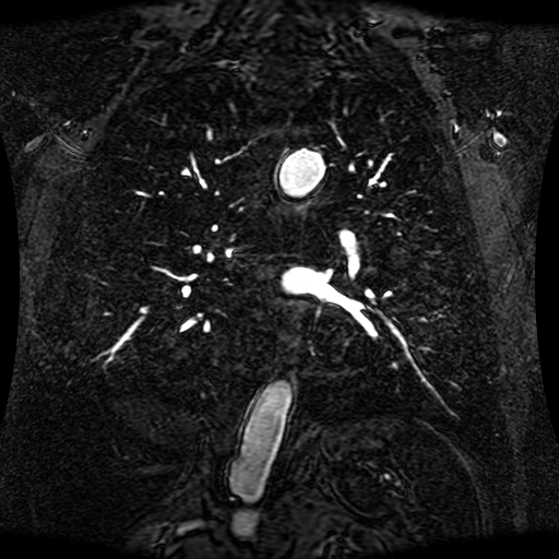
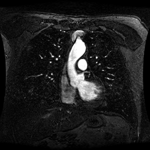
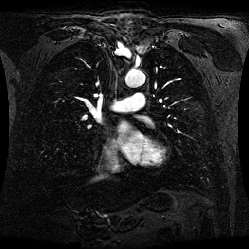
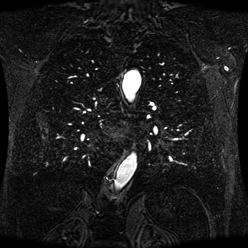
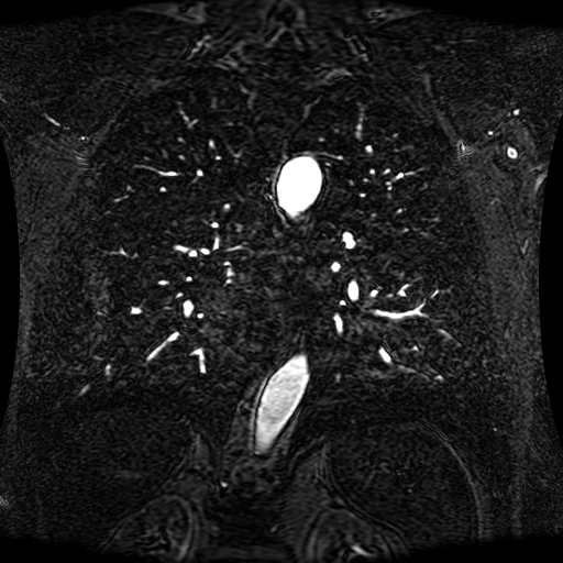
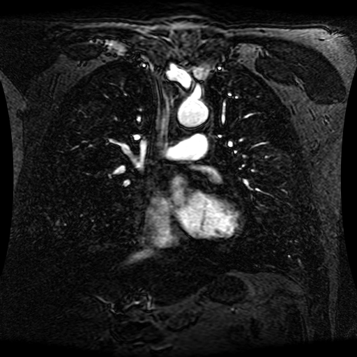
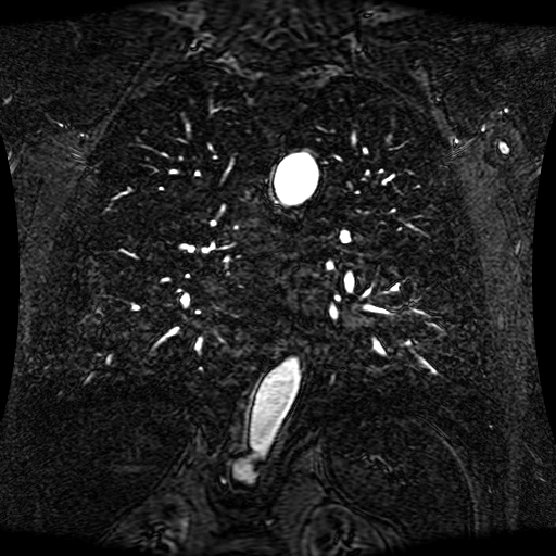
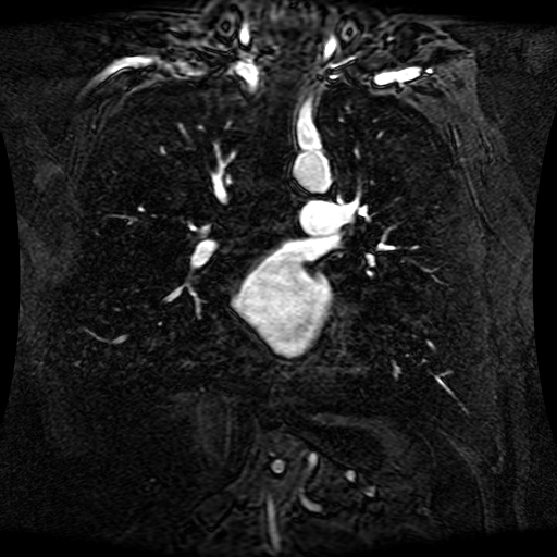
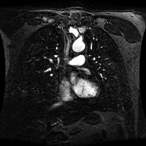
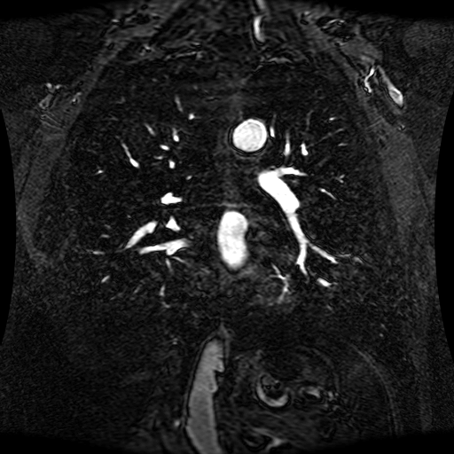
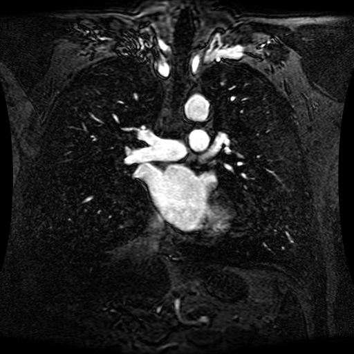
These magnetic resonance angiography (MRA) images show coronal slices acquired from consecutive anteroposterior positions within the torso. The study was performed on a 1.5T General Electric (GE) Signa imaging system with gadolinium-contrast-enhancement for visualization of the cardiopulmonary vasculature. The pulse sequence used was a 3D time-of-flight fast spoiled gradient recalled acquisition in steady state (FSPGR, TR=6.3, TE=1.4, NEX=1, FOV = 40cm, slice thickness = 1.2mm).

This sample image contains 76 frames. It is available in DICOM format (E1154S7I.dcm), as an animated GIF (E1154S7I.gif), as .ogg, .mp4, .webm, and .swf animations (one of which is shown above), or as individual PNG-format frames (see below).

The original DICOM image was converted into GIF and PNG formats using reformat-dicom, a script that makes use of the ImageMagick convert utility (included in most Linux distributions and available freely for most other platforms from http://www.imagemagick.org).

 

Contributors

We wish to thank Dr. Godtfred Holmvang for making these data available here.


Share
Access

Access Policy:
Anyone can access the files, as long as they conform to the terms of the specified license.

License (for files):
Open Data Commons Attribution License v1.0

Discovery

DOI (version 1.0.0):
https://doi.org/10.13026/C2001G

Topics:
image angiography

Project Views

259

Current Version

259

All Versions
Project Views by Unique Registered Users
Corresponding Author
You must be logged in to view the contact information.

Files

Total uncompressed size: 70.8 MB.

Access the files
Folder Navigation: <base>
Name Size Modified
E1154S7I.dcm (download) 38.0 MB 2001-08-15
E1154S7I.gif (download) 21.6 MB 2001-08-17
E1154S7I.mp4 (download) 1.8 MB 2015-08-20
E1154S7I.ogg (download) 195.1 KB 2015-08-20
E1154S7I.swf (download) 433.7 KB 2015-08-20
E1154S7I.webm (download) 194.3 KB 2015-08-20
E1154S7I000.png (download) 115.1 KB 2001-08-17
E1154S7I001.png (download) 116.2 KB 2001-08-17
E1154S7I002.png (download) 115.5 KB 2001-08-17
E1154S7I003.png (download) 113.4 KB 2001-08-17
E1154S7I004.png (download) 111.1 KB 2001-08-17
E1154S7I005.png (download) 109.7 KB 2001-08-17
E1154S7I006.png (download) 108.4 KB 2001-08-17
E1154S7I007.png (download) 107.2 KB 2001-08-17
E1154S7I008.png (download) 107.1 KB 2001-08-17
E1154S7I009.png (download) 106.8 KB 2001-08-17
E1154S7I010.png (download) 106.9 KB 2001-08-17
E1154S7I011.png (download) 106.9 KB 2001-08-17
E1154S7I012.png (download) 106.9 KB 2001-08-17
E1154S7I013.png (download) 108.6 KB 2001-08-17
E1154S7I014.png (download) 109.5 KB 2001-08-17
E1154S7I015.png (download) 110.6 KB 2001-08-17
E1154S7I016.png (download) 110.8 KB 2001-08-17
E1154S7I017.png (download) 110.6 KB 2001-08-17
E1154S7I018.png (download) 110.3 KB 2001-08-17
E1154S7I019.png (download) 110.4 KB 2001-08-17
E1154S7I020.png (download) 111.1 KB 2001-08-17
E1154S7I021.png (download) 111.6 KB 2001-08-17
E1154S7I022.png (download) 112.0 KB 2001-08-17
E1154S7I023.png (download) 112.4 KB 2001-08-17
E1154S7I024.png (download) 112.7 KB 2001-08-17
E1154S7I025.png (download) 112.9 KB 2001-08-17
E1154S7I026.png (download) 113.1 KB 2001-08-17
E1154S7I027.png (download) 112.9 KB 2001-08-17
E1154S7I028.png (download) 112.8 KB 2001-08-17
E1154S7I029.png (download) 113.0 KB 2001-08-17
E1154S7I030.png (download) 113.5 KB 2001-08-17
E1154S7I031.png (download) 113.8 KB 2001-08-17
E1154S7I032.png (download) 114.4 KB 2001-08-17
E1154S7I033.png (download) 115.0 KB 2001-08-17
E1154S7I034.png (download) 115.6 KB 2001-08-17
E1154S7I035.png (download) 116.4 KB 2001-08-17
E1154S7I036.png (download) 117.4 KB 2001-08-17
E1154S7I037.png (download) 118.5 KB 2001-08-17
E1154S7I038.png (download) 119.1 KB 2001-08-17
E1154S7I039.png (download) 119.3 KB 2001-08-17
E1154S7I040.png (download) 119.3 KB 2001-08-17
E1154S7I041.png (download) 119.3 KB 2001-08-17
E1154S7I042.png (download) 119.6 KB 2001-08-17
E1154S7I043.png (download) 119.4 KB 2001-08-17
E1154S7I044.png (download) 119.2 KB 2001-08-17
E1154S7I045.png (download) 119.2 KB 2001-08-17
E1154S7I046.png (download) 119.2 KB 2001-08-17
E1154S7I047.png (download) 118.7 KB 2001-08-17
E1154S7I048.png (download) 118.9 KB 2001-08-17
E1154S7I049.png (download) 118.9 KB 2001-08-17
E1154S7I050.png (download) 119.2 KB 2001-08-17
E1154S7I051.png (download) 119.2 KB 2001-08-17
E1154S7I052.png (download) 119.1 KB 2001-08-17
E1154S7I053.png (download) 119.0 KB 2001-08-17
E1154S7I054.png (download) 119.2 KB 2001-08-17
E1154S7I055.png (download) 119.0 KB 2001-08-17
E1154S7I056.png (download) 118.8 KB 2001-08-17
E1154S7I057.png (download) 119.0 KB 2001-08-17
E1154S7I058.png (download) 118.8 KB 2001-08-17
E1154S7I059.png (download) 118.2 KB 2001-08-17
E1154S7I060.png (download) 117.9 KB 2001-08-17
E1154S7I061.png (download) 117.2 KB 2001-08-17
E1154S7I062.png (download) 116.9 KB 2001-08-17
E1154S7I063.png (download) 117.2 KB 2001-08-17
E1154S7I064.png (download) 117.3 KB 2001-08-17
E1154S7I065.png (download) 117.1 KB 2001-08-17
E1154S7I066.png (download) 116.7 KB 2001-08-17
E1154S7I067.png (download) 116.6 KB 2001-08-17
E1154S7I068.png (download) 117.0 KB 2001-08-17
E1154S7I069.png (download) 117.4 KB 2001-08-17
E1154S7I070.png (download) 118.0 KB 2001-08-17
E1154S7I071.png (download) 118.8 KB 2001-08-17
E1154S7I072.png (download) 119.5 KB 2001-08-17
E1154S7I073.png (download) 119.7 KB 2001-08-17
E1154S7I074.png (download) 119.6 KB 2001-08-17
E1154S7I075.png (download) 118.0 KB 2001-08-17
SHA256SUMS.txt (download) 6.5 KB 2019-02-20
reformat-dicom (download) 738 B 2001-08-17